上海市公共卫生临床中心(复旦大学附属中山医院南院)放射科的前身是具有近百年历史的上海市传染病总医院放射科。目前为复旦大学影像医学与核医学专业硕士、博士培养点,卫生部临床药物试验基地,全国传染病进修班医师培训基地,上海市住院医师规范化培训考核基地。现有高级职称人员4名,其中博士生导师2名,全科在职人员硕士学历及以上者5人,其中博士3人。作为复旦大学医学博士、硕士培养点,已培养或联合培养博士生10余名,硕士研究生10余名,现有硕士研究生在读2名,博士研究生在读4名。本科拥有3.0 T飞利浦全数字化超导核磁共振检查仪1台、1.5 T飞利浦超导型核磁共振检查仪1台、全数字化DSA设备2台、64排128层螺旋CT 2台,16排螺旋CT 1台,,口腔X线机1台,及数字胃肠机2台、多台DR、CR等大型医疗设备。放射科已有完整、先进的PACS和RIS系统。
目前放射科诊疗特色有慢性肝病、小肝癌早期诊断、各系统结核、各系统感染、肺癌、艾滋病合并症、腹腔及后腹膜肿瘤等。特别是在早期肺癌低剂量CT筛查方面,取得了不错的进展,近期与中心及中山医院胸外科开展了紧密合作。另外,放射科还开展MRI波谱、MRI弥散、MRI张量成像、类PET-MRI、MRA、乳腺MRI、全身大血管及冠状动脉CTA等多项新技术项目,为临床诊断、治疗提供新帮助。近年来,放射科业务量及业务水平增长迅猛,逐步形成金山总部和虹口分部比翼齐飞的局面。
在国内、外合作与交流方面,放射科为全国传染与感染性疾病患者和普通患者提供系统性国家水平的影像诊断,并开发了零感染影像检查与智能影像诊断系统,逐步开展适宜的多器官功能影像学评估临床研究。近期,我们还推出了《中华传染与感染影像》病例讨论微信平台,与国内、外医学影像学的同仁们互相交流、学习与合作。
放射科还开展了众多具有国内、外先进水平的特色科研项目,并建立了传染病影像动物实验平台。近三年,科室承担国家自然科学基金2项,上海市科委课题4项,上海市卫计委课题1项、上海市申康医院发展中心课题2项、上海市金山区科委课题1项、王宝恩肝纤维化基金1项;参与NIH中美课题1项,参加国家十二五重大传染病专项“艾滋病合并结核的治疗策略研究”,并主持子课题1项;作为副组长单位参与国家863项目1项。主要负责人获卫生部优秀教材奖1项,省部级新项目引进一等奖1项。近2年来,承担日本日立医疗有限公司、日本东芝医疗有限公司、德国西门子公司,荷兰飞利浦公司等国内外公司临床医疗器械、介入新药临床验证30余项。全科近5年在国内、外各类学术期刊,包括影像医学国际顶级期刊《Radiology》在内的SCI文章近20篇,发表科学论文近50篇,主编学术专著5部,参编多部学术专著。
CT灌注成像
CT作为肺部疾病的一种常用影像学检查方法,在肺部孤立性病变的诊断和治疗后的随访过程中发挥重要作用。常规CT检查可通过病灶形态学、大小、密度等对良、恶性病变进行鉴别,但有时仅通过这些特征很难进行区分。
CT灌注(CT perfusion,CTP)检查通过定量血流灌注参数来反映肿瘤内新生血管及毛细血管通透性、肿瘤生长的微环境,借此,将其联合常规CT可进一步提高诊断效能。此外,CTP还可以对病灶治疗前后的血流灌注参数进行比较,从而对临床干预的疗效进行评估。
在我院HIV/AIDS这一特殊人群中,因其肺部机会性感染非常常见,且这种机会性感染,如结核、真菌,其表现可能不同于正常人群,经抗炎对症处理后持续存在的孤立性病灶单从常规CT上很难与恶性病变相鉴别,CTP为影像诊断及临床治疗提供新的帮助。
CT特色检查
CT 常规检查
全身各部位先天性发育不良;外伤;梗死、出血;动脉瘤和血管畸形;各种肿瘤;感染性病变;髓鞘形成异常及脱髓鞘疾患;肺、肝等弥漫性病变;寄生虫病;胆系和泌尿系结石、胆道和泌尿道梗阻;腹膜后纤维化;椎管狭窄症,椎间盘病变,骨关节病。
CT 特色项目
1 .高分辨率 CT : 能获得良好的空间分辨率,可清晰显示微小的组织结构,如肺间质的次级肺小叶间隔,小的器官如内耳与听骨,复杂部位的微小骨折等。对肺组织炎症和肿瘤,骨骼系统病变的诊断有较大价值。
图示:右肺新型 隐 球菌感染
2 .三期增强扫描 :对全身各部位病变(肿瘤、炎症和先天异常等)的定性诊断与鉴别诊断有重要价值,尤其是肝癌和肾癌的诊断。
图示 : 小肝癌 的三期扫描,增强早期病灶明显强化,门静脉和延迟期呈低密度。
图示 : 小肾癌 的三期扫描,皮质期病灶明显强化,髓质呈低密度。
3 . CT 低张胃肠道检查 :服水低张胃肠道 CT 检查,能清晰地显示进展期胃肠道肿瘤的形态学特征,有利于术前肿瘤的分期和术后复发的早期检出。
图示: 胃癌肝转移 局部胃壁明显增厚,强化明显,肝内转移 灶明显 强化。
4 . CT 血管造影
常规采用薄层扫描,借助于造影剂自动追踪技术,在最佳极短时间窗内完成大范围的容积扫描,实现全身所有部位的高分辨率 CT 血管造影,显示 1 毫米以下的血管分支,严格区分动脉期与静脉期。可以广泛用于肿瘤性病变,血管性病变的诊断与鉴别诊断。借助于三维容积漫游重建技术,可以彩色逼真显示解剖与病理结构。
颅内 CTA
腹部 CTA
腹部-下肢 CT ( MIP )
5 .三维重建 :
16 层 CT 由于常规采用薄层扫描,具有极高的 Z 轴分辨率,清楚显示骨质微细结构,甚至再现听小骨的三维结构。同时,大范围扫描后的快速三维表面重建或者容积重建在数秒内逼真再现骨骼系统的解剖与病理结构,提供外伤后,矫形前后的解剖与病理信息。
躯干骨骼三维成像
盆骨三维成像
内耳三维成像
6 . CT 灌注
多层螺旋可同时进行多个层面的灌注评价,大大提高了正确评价的可能性。 CT 灌注成像在脑部可用于评价早期脑部缺血性病变;体部脏器如心、肝、肾的肿瘤灌注是根据灌注量的改变观察肿瘤的血流灌注情况和放、化疗后的效果。
大脑肿瘤灌注
7 . CT 仿真内窥镜
CT 仿真内窥镜软件是在 CT 扫描容积数据的基础上,借助于不同介质,组织之间的密度差别和 SSD , VRT 的自动重建与导航技术,虚拟再现内窥镜观察效果。可广泛用于空腔脏器的模拟内窥镜成像,如消化道,气道,鼻窦等;还可以用于血管结构的腔内显示。由于 16 层 CT 所具有的超高分辨率各各向同性成像优势,即使如冠状动脉末梢,内耳等处, CT 仿真内窥镜也能进退自如。目前 CT 仿真内窥镜在临床上应用最多的是用于结肠小息肉诊断和早期结肠癌的普查。
结肠内窥镜
颈部血管内窥镜
8 .心脏成像
心脏成像软件采用专门的采集与重建手段,采集心脏的动态与静态图像,用于心脏的形态与功能成像。
冠状动脉钙化检测:可以预测冠状动脉狭窄的发病几率,用于无症状的高危及易患人群的普查。
CT 冠状动脉造影:适用于 1 )冠状动脉疾患的筛选 ; 2 )各种血管重建术的术前定位。 3 )其他非冠心病的心脏手术及瓣膜置换术前了解心脏的功能情况,排除冠状动脉狭窄性疾病。 4 )心脏术后复查。 5 )心肌梗死的患者稳定期的检查。 6 )选择性冠状动脉造影前检查。
正常冠脉
正常冠脉
冠脉软斑块并钙化
冠脉支架放置后

MRI特色检查
常规临床应用
• 神经系统疾患:中枢神经系统疾病的诊断中,除颅骨骨折及颅内急性出血不 CT 外,在脑部肿瘤、颅内感染、脑血管病变、脑白质病变、脑发育畸形、脑退行性病变、脑室及蛛网膜下腔病变、脑挫伤、颅内亚急性血肿以及脊髓的肿瘤、感染、血管性病变及外伤病变的诊断中,均优于 CT 。
图:脑肿瘤
2 .颅颈移行区病变:由于 MRI 具有不产生骨伪影的优点,对后颅凹及颅颈交界区病变的诊断具有独特的优势。
图: 颅颈交界肿瘤
3 .颈胸部病变:由于血管的流空效应及纵隔内脂肪的高信号特点可清晰显示纵隔、肺门、咽、喉、甲状腺、颈部淋巴结、血管及颈部肌肉,对纵隔及肺门淋巴结肿大、占位性病变、颈部病变诊断具有重要诊断价值。但对于肺内钙化及肺实质及肺间质小病灶的检出远不如 CT 。
图: 纵隔 肿瘤
4 .心脏大血管病变:运用心电门控触发技术,可对心肌、心包病变、某些先天性心脏病作出准确诊断, MRI 的流空效应,可直观地显示主动脉瘤、主动脉夹层等大血管疾患。
5 .肝脏病变:通过 Tl 加权像和 T2 加权像快速序列及动态增强、弥散、灌注成像可鉴别肝脏囊肿、海绵状血管瘤、肝癌及转移癌。对胆管内病变的显示优于 CT ,对胆囊病变的诊断与 CT 大致相同, MRCP 结合常规及动态增强 MRI 对胆囊及胆道疾病的定位、定性诊断有很大的价值。
6 .肾及输尿管病变: 肾与其周围脂肪囊在 MR 图像上形成鲜明的对比,肾实质与肾盂内尿液形成良好对比。 MRI 对肾脏疾病的诊断具有重要价值, MRI 可直接显示尿液造影图像 (MRU) ,对输尿管狭窄、梗阻具有重要诊断价值。
图:肾盂癌
7 .胰腺病变:由于胰腺周围脂肪衬托, MRI 可显示出胰腺及胰腺导管, MRCP 对胰腺疾病有一定的帮助,在对胰腺病变的诊断中, CT 与 MRI 两者具有互补性。
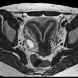
8 .盆腔病变: MRI 多方位、大视野成像可清晰地显示盆腔的解剖结构。尤其对女性盆腔疾病具有重要诊断价值,对盆腔内血管及淋巴结的鉴别较容易,是盆腔肿瘤、炎症、子宫内膜异位症、转移癌、前列腺癌等病变的最佳影像学检查手段。
9 .四肢、关节病变:对四肢骨骨髓炎、四肢软组织内肿瘤及血管畸形有良好的显示效果。 MRI 可清晰显示软骨、关节囊、关节液及关节韧带,对关节软骨损伤、关节积液等病变的诊断具有其他影像学检查无法比拟的价值。在关节软骨的变性与坏死诊断中,早于其它影像学法。
10 .乳腺肿块 动态增强、弥散 ADC 值、 MRS 结合常规的 MR 成像基本上能明确良恶性乳腺肿块诊断 , 乳腺癌的分期以及术前评价 。
图:乳腺肿瘤
MR 特色检查项目
1 .快速动态增强扫描 双倍剂量快速的动态增强扫描能很好地显示病变组织的微血循环情况,对占位性病变的检出,以及良恶性肿瘤的诊断于鉴别诊断有重要价值。
图:垂体微腺瘤
2 .弥散成像弥散成像:对超急性期、急性期脑梗塞、早期脑脊髓病变、缺血缺氧性脑病、肿瘤、脓肿、先天性病变等的诊断于鉴别有重要价值。
3 . MR 血管造影
可用于显示动脉瘤、血管狭窄和闭塞、动—静脉畸形及其供血动脉和引流静脉。增强 MRA 在神经系统、骨骼肌肉系统、腹部等脏器可显示肿瘤血管的血供情况及肿瘤压迫邻近血管结构并使之移位的图像,为外科手术方案的制定提供更多的信息;在夹层动脉瘤、肾动脉狭窄、脊柱血管畸形、下肢大范围血管病变、门脉血管成像等方面具有极高的临床应用价值,具有极高的性价比。
4 . MRS :可检测局部代谢产物的变化 , 对缺血性病变、肿瘤性病变、感染性病变、先天性病变和变性、代谢性病变诊断提供更多的诊断和鉴别诊断信息。
5 .磁共振水成像技术
包括磁共振胰胆管成像 (MRCP) 、磁共振泌尿系成像 (MRU) 、磁共振椎管成像 (MRM) 、磁共振内耳成像、磁共振涎腺管造影、磁共振泪道造影、磁共振脑室系统造影等。磁共振水成像技术作为一种安全、无需造影剂、无创伤性的影像学检查手段,在某种程度上代替诊断性 ERCP 、 PTC 、 IVP 、 X 椎管造影、 X 涎管造影、泪道造影等传统造影检查手段。
( 1 )磁共振胰胆管造影技术( MRCP ):显示正常胰胆管结构及其变异;显示胆石症、良恶性胆管阻塞;急慢性胰腺炎、胰腺分离症。
( 2 )磁共振泌尿道水成像技术:对于尿路梗阻的显示率极高,对于输尿管、肾盂、膀胱结石及输尿管良恶性狭窄的显示效果极佳。并可同时显示肾实质及泌尿集合系统,主要用于尿路积水的诊断。
图:肾盂输尿管重复畸形。
( 3 )磁共振脑脊液造影:正常脑室系统的显示、导水管狭窄、梗阻性病变的显示。
( 4 ) MR 涎管造影:评价涎管扩张、涎管狭窄、创伤性涎管损伤、透 X 线的结石。另外,与常规序列 MR 成像相结合,可以完整地评价唾液腺实质和涎管。
( 5 )磁共振鼻泪管造影技术:鼻泪管闭塞多发生在近端, MR 鼻泪管造影可以显示泪囊扩张、狭小以及鼻泪管内充盈缺损,后者多为肿瘤所致。
( 6 )磁共振椎管造影: MRM 能够显示椎间盘或骨赘与神经根鞘膜、尾丝之间的空间关系同时,它还可以为外科医生提供一种线路图
( 7 )磁共振内耳迷路造影技术:内耳先天异常 ,前庭导管综合征,耳蜗导管扩张,迷路炎,耳蜗移植时排除手术禁忌证和相对禁忌证。
图:十二指肠肿瘤
QCT骨密度测定
随着人口的老龄化,以及病毒感染(肝炎、结核、HIV感染)及药物等原因引起的骨代谢异常,导致骨质疏松的发病率越来越高(目前发病率位于世界前列)。骨质疏松被称为悄无声息的癌症,生命的隐性杀手,骨质疏松一旦发展到中晚期,骨折的发生率明显增高,有15%~20%患者由于多种并发病而死亡。QCT骨密度测定是通过检查脊椎骨矿密度诊断骨质疏松。
QCT骨密度测定优势:
(1)该技术无创伤。
(2)对受检者要求低,安全性高。
(3)检查时间短,敏感性高。
(4)每次检查辐射量很低。
肺结节LDCT筛查及图像后处理技术
肺结节LDCT筛查及图像后处理技术
肺癌发病率居恶性肿瘤首位,也是目前世界上恶性肿瘤死亡的首要原因。我国是世界第一肺癌大国,而上海地区肺癌的发病率和死亡率明显高于全国,因此肺癌早期检出、早期诊断、早期治疗的任务刻不容缓。
LDCT(Low Dose Computed Tomography)是低剂量螺旋CT,是敏感性和特异性最高的肺癌普查手段。该技术主要是对肺内结节进行靶重建、MPR、最小密度投影以及肺内结节或占位的动态增强。
“肺结节LDCT筛查及图像后处理技术”是基于本院承担的上海市科委重大专项课题“上海地区早期肺癌的影像学筛查及诊断研究”子课题(课题号:13411950100)所开展的新技术。在课题开展期间,我们发现157例受试者肺内存在结节,有28例患者手术或穿刺病理证实,早期肺癌(I期肺癌)26例,极大的提高的早期肺癌的检出率以及提高了患者的生存率。
与传统X线比较LDCT有明显优势:
(1)LDCT辐射剂量与普通X片相仿。
(2)LDCT检出的肺癌较X线检查出的肺癌分期更早、直径更小,并可通过靶扫描等手段进一步明确性质。
(3)LDCT普查出的肺癌5年生存率较X线普查出的肺癌明显增高。
因此,LDCT应该是肺癌普查的首选准确方法,经济条件允许应当尽量选用。
肝脏体积测量
肝脏体积测量
CT肝脏体积测量技术已经非常成熟,与水测法所得肝实质体积值相差<5%。可以进行肝脏节段智能识别及分离,血管束识别和提取、肝肿瘤自动分析、全自动精确体积测量、虚拟肝脏切除手术等。
开展此项具有重要的临床意义:
(1)术前精准定位肿瘤,减少术中探查及挤压肝脏造成肿瘤转移的可能。
(2)提供符合不同地区以及外科和影像学惯用的术前肝脏只能节段分析,提高术中肝实质离断效率,将荷载病灶的肝段连同病灶一并完整切除,增加病灶切除的彻底性,是一种精准解剖性肝切除,可尽量避免手术损伤正常结构。
(3)定量评估肿瘤的大小和体积,显著提高肝脏恶性肿瘤的切除率。
(4)职能血管束提取,明确肿瘤与血管的关系。
(5)虚拟肝脏切除术,精确定量术后残余肝体积及肝脏储备功能,成功预见手术预后情况;精确定量慢性肝病及肝衰竭病人的肝脏体积及肝脏储备功能,评估病人预后。
(6)辅助制定肝脏射频消融计划。
(7)准确评估受体和供体肝脏总体积以及各叶体积,为肝移植提供重要信息。
类PET-MRI
类PET-MRI
一直以来,肿瘤影像学都是整个影像学的重点和难点。如何做到肿瘤的筛查、肿瘤良恶性的鉴别、肿瘤的分期及肿瘤治疗疗效的评估是医学影像学最急需解决的问题,而类PET-MRI大大提高了病变组织--尤其是恶性肿瘤及其转移灶的检出率,对早期发现病灶及为病人的疾病预后提供可靠的检查依据。如:易发生转移的肿瘤病人提供转移预后的诊断价值。
目前国内开展最多的PET成像,对患者而言费用昂贵并伴有电离辐射,因而其临床使用受到了很大限制。类PET-MRI成像与PET相比具有一个极为明显的优势:
1.检查费用远低于PET,因而可以实现在肿瘤病人的常规应用,以及常规体检的应用。
2.类PET-MRI具备了与PET可媲美的恶性肿瘤敏感性和特异性,而且检查方便并且无电离辐射。
乳腺MRI
乳腺MRI
MRI对鉴别乳腺癌良恶性病变有非常重要的意义,其优点包括:
1. 对发现乳腺病变具有较高的敏感性,尤其是对于X线平片评价较为困难的极度致密型乳腺、乳腺深部病灶、乳腺癌术后局部复发、乳腺假体术后观察假体位置及有无破裂溢漏等。
2. 无电离辐射损伤。
3. 可以进行乳腺任意方向三维成像,使病灶定位更准确、显示更直观,更有利于为临床手术提供定位依据,减小手术范围,提高临床保乳手术的可能性。
4. 对于乳腺癌患者,MRI多中心、多病灶的病变检出率较X线平片及乳腺超声存在明显优势,对于乳腺癌的浸润程度、范围、周围软组织及胸廓侵犯显示清晰,明确纵隔、腋窝淋巴结转移也优于其他检查手段,因此应用MRI对乳腺癌进行准确分期可以为临床制定治疗方案提供更多可靠依据。
5. MRI具有多种功能成像手段,包括动态增强扫描成像,有利于观察病变血流灌注的情况;弥散加权成像,有利于鉴别肿瘤良恶性;波谱成像,有利于了解肿瘤内部内环境代谢情况。
所以乳腺MRI检查在乳腺病变中具有非常重要的地位,尤其是在我国女性极度致密型腺体中的病变检查,以及乳腺癌早期诊断及体检筛查中具有举足轻重的地位。
影像引导(CT/MR)下穿刺活检及微创治疗
现已有多种影像设备与技术被应用于引导穿刺活检及治疗(非血管介入)。目前,CT尤其是多层螺旋CT仍是应用最广泛的穿刺活检及微创治疗(非血管介入)的引导设备。
CT具有扫描速度快、容积扫描、密度分辨率高、可以任意方位重建等优点,我院已大量开展CT引导下肺部病灶活检、CT引导下肺肿瘤射频消融、CT引导下肝肿瘤射频消融等。
MRI成像技术的进步,快速扫描序列的出现,使磁共振作为导引设备应用于经皮穿刺成为可能。磁共振导引具有多平面成像、多序列扫描、软组织对比度高、良好的血管流空效应、近实时导引及无放射性损伤等优点,我科已开展MRI引导下多个器官的微创诊疗。
ECHOSENS弹性超声诊断仪

中心引进由法国ECHOSENS公司发明并生产的肝脏硬度检测弹性超声诊断仪(FibroScan),是全球首个通过数值对肝脏硬度进行量化的新型的肝纤维化无创检测仪器,是用于诊断和监测慢性肝病的完全无创的即时检测设备,是目前唯一完全无创评估与监测慢性肝病的量化工具。
GE平板型数字减影血管造影机
介入放射 专业是 上海市(复旦大学附属)公共卫生临床中心的重点发展学科之一,是医学影像科属下的一个对疾病进行诊断及治疗的临床科室,有以张志勇、 施裕新 教授作为学科带头人组成的临床经验丰富、医技精 湛的 医师团队,并配有一支技术娴熟的技术员及护士队伍。科室 拥有先进的介入手术室、介入协作病区、 GE 大型平板数字减影血管造影机、先进的麻醉机、手术心电监护系统、除颤仪及中心吸氧等抢救设备;所在的影像科拥有先进的多排螺旋 CT 、高场 MRI 、彩色超声机等先进设备;病房 设施齐全,环境宁静优美; 介入治疗手术创伤小、安全、有效、并发症少和住院时间短。
目前上海市公共卫生临床中心医学影像科承担国家自然科学基金、国家十一五重大专项、上海市科委、上海申康发展中心等多项科研课题研究,获部省级科研奖励多项,拥有先进的动物实验影像研究 平台,为上海市及周边科研机构提供技术支持服务。
本科室本着 “ 以病人为中心,一切为病人服务 ” 的精神,把肝癌、脾功能亢进、梗阻性黄疸等疾病和并发症的介入治疗作为本学科的重点发展方向,同时兼顾消化道、呼吸道及其他系统的肿瘤和血管疾病,以此来满足来本院就诊患者的介入诊疗需求及金山区周边地区患者的需求,更好地为患者服务。
飞利浦1.5T超导型核磁共振成像仪
中心于2003年选用荷兰PHILIPS公司磁场梯度为1.5T的MRI。
磁共振成像(Magnetic Resonance Imaging ,缩写为MRI)是一种最为先进的影像学检查方法。其优点在于:
1 .MRI 的软组织对比分辨率最高,它可以清楚地分辨肌肉、肌腱、筋膜、脂肪等软组织。
2 .MRI 具有任意方向直接成像能力,不必变动被检查者的体位,可全面显示被检查器官或组织的结构,无观察死角。很方便地进行解剖结构或病变的立体追踪。
3 .MRI 属无创伤、无射线检查,避免了射线所致的损伤。
4 .MRI 成像对神经系统和心血管系统疾病的诊断有独特的优势。
飞利浦3.0T全数字核磁共振成像仪

中心于2015年选用荷兰PHILIPS公司超导型、全数字化核磁共振成像仪Ingenia 3.0T。
该型号的核磁共振成像仪曾连续两年获得全球最佳3T核磁共振称号。
磁共振成像(Magnetic Resonance Imaging,MRI)是一种最为先进的影像学检查方法。其优点在于:
1.MRI的软组织对比分辨率最高,它可以清楚地分辨肌肉、肌腱、筋膜、脂肪等软组织。
2.MRI具有任意方向直接成像能力,不必变动被检查者的体位,可全面显示被检查器官或组织的结构,无观察死角。很方便地进行解剖结构或病变的立体追踪。
3.MRI属无创伤、无射线检查,避免了射线所致的损伤。
4.MRI成像对神经系统和心血管系统疾病的诊断有独特的优势。
飞利浦Brilliance 128层纳米CT简介
日立Scenaria 128层CT简介
中心购置的日本日立公司Scenaria128,是目前最先进的64排128层CT。其独特的靶中心扫描技术,颠覆传统CT的理念,实现可横向移动的检查床,配合智能窄扇区系统,对于如心脏,肝脏等偏中心器官,扫描时自动将靶器官移至CT扫描野中心,大幅提高图像分辨率,是国际上首创的最新CT扫描技术。
Scenaria128提供每圈0.35秒的高速扫描速度,实现最快仅需6秒的胸腹连扫速度。0.35秒的扫描速度还可用于心脏冠脉和其他身体部位的检查,是高速CT的代表。
Scenaria128配备了先进的迭代智能降噪技术Intelli IP和Intelli EC,该技术体系即提供了低剂量的扫描方案又保证了高品质的图像质量,可以用于肺部低剂量筛查,引领了CT绿色检查的时代潮流。
西门子16排螺旋CT

我院于2003年引进了德国西门子公司 16 层螺旋 CT - SOMATOM Sensation 16 。该款 CT 每圈采集 16 层图像,每秒采集层面达 38 层;并采用目前世界上最先进的磁悬浮驱动技术,使机架的旋转速度达 0.375 秒 /360 度,并且可用于全身各扫描部位。
16 层 CT 的主要优点:
( 1 )缩短扫描时间,加快扫描速度:最快采集时间为 0.375/360 度,可有效减少运动性伪影,这对儿童、创伤、急症重危病人的检查十分有利;由于极快的扫描速度,可以在瞬间冻结运动器官,实现了心脏等运动器官的高精度成像。同时,在同样扫描层厚的情况下, CT 机的层数越多,在相同时间内扫描的范围越大,同样范围时需要的时间越短;这对于实质性脏器的扫描来说,使动态增强扫描的分期更为明确。比如扫描一个全胸部的范围( 30 厘米),只需要不到 4 秒钟。
( 2 )增加扫描范围:一次完成全身扫描。一次注射造影剂后可同时完成主动脉向颈部动脉和颅内血管及沿主动脉分支直到四肢末梢血管的观察。
( 3 )减少扫描层厚: 16 层 CT 常规采用薄层扫描,即使小于 1 毫米的病变也不会漏诊。
( 4 )减少病人接受的剂量。由于出一次 X 线就完成多层扫描,扫描同样大的范围,病人接受的剂量减少了。